ÇÏÀÌÈú, ½ºÅ¸ÀÏÀº Up! ¹ß°Ç°­Àº Down!
2013³â 08¿ù 27ÀÏ 09½Ã 34ºÐ ÀÔ·Â

±â»ç ³»¿ë »ðÀÔ À̹ÌÁö
[¿Óóµ¥Àϸ®] ½Ã´ë¸¦ ¸··ÐÇÏ°í ¿©¼ºµéÀÇ °¡Àå Å« °ü½É»ç´Â ÀÚ½ÅÀÇ ¿Ü¸ð¸¦ °¡²Ù´Â °ÍÀÌ´Ù. ƯÈ÷ ´Ù¾çÇÑ ÆÐ¼Ç ¾ÆÀÌÅÛ Áß¿¡¼­ ÇÏÀÌÈúÀº Å« ³ë·ÂÀ» µéÀÌÁö ¾Ê°íµµ ¿Ü¸ð¸¦ ÇÑ Ãþ µ¸º¸ÀÌ°Ô ÇØ ¿©¼ºµéÀÇ Àý´ëÀû ÁöÁö¸¦ ¹Þ¾Æ¿Ô´Ù. ¿©¼ºµéÀÇ Å°¸¦ ´õ¿í Ä¿ º¸ÀÌ°Ô ÇÏ°í ´Ù¸® ¶óÀÎÀ» »ì·ÁÁà ½Ã°¢Àû È¿°ú°¡ ¶Ù¾î³ª±â ¶§¹®ÀÌ´Ù. ÇÏÀÌÈúÀº ÀÌ·¯ÇÑ ¸Å·ÂÀ¸·Î ½±°Ô Æ÷±âÇÒ ¼ö ¾ø´Â ÆÐ¼Ç ¾ÆÀÌÅÛÀ¸·Î ÀÚ¸®Àâ¾ÒÁö¸¸, ÀÚÄ©ÇÏ¸é ¹ßÀÇ º¯Çü°ú ÅëÁõÀ» µ¿¹ÝÇÏ´Â ¹«Áö¿Ü¹ÝÁõÀ» ºÒ·¯¿Ã ¼ö ÀÖ¾î °¢º°ÇÑ ÁÖÀǰ¡ ¿ä±¸µÈ´Ù.

 

À£Æ°º´¿ø ¼Û»óÈ£ ¿øÀåÀº ¡°ÇÏÀÌÈúÀº ¹ß³¡À» Á¶ÀÌ°í ¹«°Ô Áß½ÉÀ» ¾ÕÀ¸·Î ½ò¸®°Ô ÇØ ¹ßÀÇ º¯ÇüÀ» ºÒ·¯ ¿Ã ¼ö ÀÖ´Ù¡±¸ç ¡°¹ßÀÇ º¯ÇüÀÌ ½ÃÀÛµÇ¸é ½Ã°£ÀÌ Áö³¯¼ö·Ï ¾ÇÈ­µÇ±â ½¬¿ö Æò»ó½Ã ¼¼½ÉÇÑ °ü¸®°¡ ÇÊ¿äÇÏ´Ù¡±°í Á¶¾ðÇß´Ù.

 

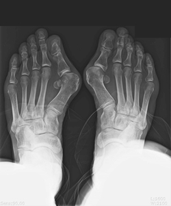
¢º ¹ß º¯Çü°ú ÅëÁõ µ¿¹ÝÇÏ´Â ¹«Áö¿Ü¹ÝÁõ

 

Çѱ¹ ¿©¼º 30~40%°¡ ¾Î´Â ¡®¹«Áö¿Ü¹ÝÁõ¡¯Àº ¾öÁö¹ß°¡¶ôÀÌ µÎ ¹øÂ° ¹ß°¡¶ô ÂÊÀ¸·Î ÈÖ´Â ÁúȯÀ¸·Î, ³²¼ºº¸´Ù´Â ¿©¼ºµé¿¡°Ô 5~6¹è ¹ßº´·üÀÌ ³ôÀº ÁúȯÀÌ´Ù. º¼ÀÌ Á¼Àº ±¸µÎ¸¦ ¸¹ÀÌ Âø¿ëÇÏ´Â °æ¿ì°¡ ³²¼ºµé¿¡ ºñÇØ »ó´ëÀûÀ¸·Î ¸¹±â ¶§¹®ÀÌ´Ù. ÇÏÁö¸¸ ¸¹Àº ¿©¼º¿¡°Ô ÈçÈ÷ ³ªÅ¸³¯ ¼ö ÀÖ´Â ÁúȯÀÓ¿¡µµ ºÒ±¸ÇÏ°í ¸ø»ý±ä ¹ßÀ» Å¿Çϸç ÅëÁõÀ» Âü°í Ä¡·áÇÏÁö ¾Ê¾Æ º´À» Ű¿ì´Â °æ¿ì°¡ ¸¹´Ù.

 

¹«Áö¿Ü¹ÝÁõÀÇ Áõ»óÀº »À°¡ ±ÁÀ¸¸é¼­ ¾öÁö ¹ß°¡¶ô ¾ÈÂÊÀÌ µ¹ÃâµÇ°í »öÀÌ »¡°²°Ô º¯Çϸç ÅëÁõÀ» µ¿¹ÝÇÑ´Ù. ÅëÁõÀÌ Áö¼ÓÀûÀ¸·Î ¾öÁö¹ß°¡¶ô ¾ÈÂÊ¿¡ ´À²¸Áö°Ô µÇ¸é ¹«ÀǽÄÀûÀ¸·Î ¾öÁö¹ß°¡¶ôÀ» µóÁö ¾Ê°í °È°Ô µÇ¾î ¹Ù´Ú¿¡ ±»Àº»ìÀÌ »ý±â°í ½Å°æÀÌ ¹¶ÃÄ ¹ß¹Ù´Ú ¾ÕÂÊ ºÎÀ§¿¡ ½ÉÇÑ ÅëÁõÀ» À¯¹ßÇÑ´Ù. ÅëÁõÀÌ »ç¶óÁö´õ¶óµµ ¾öÁö¹ß°¡¶ôÀÇ º¯ÇüÀº °è¼Ó ÁøÇØµÇ¾î ½ÉÇÒ °æ¿ì ¾öÁö ¹ß°¡¶ôÀÇ °üÀý¿°À¸·Î±îÁö ¹ßÀüÇÒ ¼ö ÀÖ´Ù. ¹«Áö¿Ü¹ÝÁõÀº ¿À·£ ½Ã°£ ¹æÄ¡ÇÒ °æ¿ì ¹«¸­°ú ôÃß±îÁö 2Â÷ÀûÀ¸·Î ÁÁÁö ¾ÊÀº ¿µÇâÀ» ÁÙ ¼ö ÀÖ¾î °¢º°ÇÑ ÁÖÀǰ¡ ÇÊ¿äÇÏ´Ù.

 

¢º Áõ»ó¿¡ µû¸¥ Ä¡·á¹ý

 

¹«Áö¿Ü¹ÝÁõÀº ½Ã°£ÀÌ Áö³¯¼ö·Ï º¯ÇüÀÌ ½ÉÇØÁö¸ç Áõ»óÀÌ ¾ÇÈ­µÇ¾î ÀûÀýÇÑ Ä¡·á½Ã±â¿Í ¹æ¹ýÀÌ Áß¿äÇÏ´Ù. ¹«Áö¿Ü¹ÝÁõÀÇ Ä¡·á´Â Å©°Ô º¸Á¸Àû Ä¡·á¿Í ¼ö¼úÀû Ä¡·á·Î ³ª´¶´Ù. Áõ»óÀÌ °æ¹ÌÇÏ°í ¹ßÀÇ º¯ÇüÀÌ ½ÉÇÏÁö ¾ÊÀ» °æ¿ì¿¡´Â ±³Á¤ ±òâ°ú ²Ë Á¶ÀÌÁö ¾Ê´Â Ä¡·á¿ë ½Å¹ß, ½ºÆ®·¹ÄªÀ» ÅëÇÑ º¸Á¶Àû Ä¡·á°¡ È¿°úÀûÀÌ´Ù. µ¹Ãâ ºÎÀ§¸¦ ÀÚ±ØÇÏÁö ¾Ê´Â ¹ß º¼ÀÌ ³Ð°í ±ÁÀÌ ³·Àº ½Å¹ß, ¿îµ¿È­¸¦ ½Å´Â °ÍÀÌ ÁÁ´Ù.

 

ÇÏÁö¸¸ ÀÌ·¯ÇÑ º¸Á¸Àû Ä¡·á¸¸À¸·Î Å« È¿°ú¸¦ º¸±â ¾î·Æ°í ÀÏ»ó»ýȰ¿¡ ÁöÀåÀÌ ÀÖ´Ù¸é º¯Çü °¢µµ ¹× °üÀý»óŸ¦ °í·ÁÇÑ ¼ö¼úÀû Ä¡·á°¡ ÇÊ¿äÇÏ´Ù. ÀϹÝÀûÀ¸·Î µ¹ÃâºÎÀ§¸¦ ±ð¾Æ³»°í ³»¿ÜÃàÀ¸·Î Ä¡¿ìÄ£ »À¸¦ Àß¶ó °¢À» ±³Á¤Çϰí ª¾ÆÁø ¿¬ºÎÁ¶Á÷À» ´Ã·ÁÁÖ´Â ¼ö¼úÀÌ ÇÊ¿äÇØ °æÇèÀÌ Ç³ºÎÇÑ Á·ºÎ Áúȯ Àü¹®ÀÇ¿¡°Ô ½Ã¼úÀ» ¹Þ´Â °ÍÀÌ ÁÁ´Ù.

 

¢º ¿Ã¹Ù¸¥ ½Å¹ß¼±Åðú ½ºÆ®·¹ÄªÀ¸·Î ¿¹¹æ

 

¹«Áö¿Ü¹ÝÁõÀº À¯ÀüÀû ¿äÀÎÀ¸·Î Æò¹ßÀ̰ųª °¡Á··Â¿¡ ÀÇÇØ¼­µµ ¹ß»ý ÇÒ ¼ö Àִµ¥ °¡Àå Å« ¿øÀÎÀº À߸øµÈ ½Å¹ß¼±ÅÃÀÌ´Ù. Æò¼Ò ÀÚ½ÅÀÇ ¹ß º¼¿¡ ¸Â´Â ½Å¹ßÀ» ½Å°í °¡´ÉÇÑ ³ôÀº ±ÁÀÇ ¾ÕÀÌ »ÏÁ·ÇÑ ½Å¹ßÀÇ Âø¿ëÀ» ÇÇÇÏ´Â °ÍÀÌ ÁÁ´Ù. ÇÏÀÌÈúÀÇ Âø¿ëÀÌ ºÒ°¡ÇÇÇÒ °æ¿ì ÇÏ·ç 6½Ã°£ ÀÌ»ó ½Å¹ßÀ» Âø¿ëÇÏÁö ¾Êµµ·Ï ÁÖÀÇÇϰí, Àå½Ã°£ Âø¿ë ½Ã¿¡´Â ÁÖ±âÀûÀ¸·Î ¹ß¹Ù´Ú ¸¶»çÁö¿Í ¹ß°¡¶ô ½ºÆ®·¹ÄªÀ» ÇØÁÖ´Â °ÍÀÌ È¿°úÀûÀÌ´Ù.

 

¼Û»óÈ£ ¿øÀåÀº ¡°¹ß °Ç°­ÀÌ ¹«³ÊÁö¸é ¹ß¸ñ, ¹«¸­, °í°üÀý, ôÃß °Ç°­¿¡µµ ¿µÇâÀ» ³¢Ä¡¹Ç·Î Æò¼Ò ¹ß°Ç°­¿¡ °ü½ÉÀ» °¡Á®¾ß ÇÑ´Ù¡±¸ç ¡°¹ßÀÇ º¯ÇüÀ̳ª ÅëÁõÀÌ ´À²¸Áú °æ¿ì Ä¡·á¸¦ ¹Ì·çÁö ¸»°í Áï½Ã Àü¹®ÀÇ¿Í »ó´ãÀ» ÅëÇØ ÀûÀýÇÑ Ä¡·á¹ýÀ» ã´Â °ÍÀÌ Áß¿äÇÏ´Ù¡±°í ¹àÇû´Ù.