½Ç¸í¿øÀÎ 1À§, ´ç´¢ ÇÕº´Áõ ¡®´ç´¢ ¸Á¸·º´Áõ¡¯ À̶õ?
2013³â 08¿ù 08ÀÏ 09½Ã 41ºÐ ÀÔ·Â

±â»ç ³»¿ë »ðÀÔ À̹ÌÁö
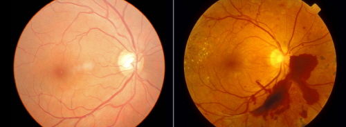
¡ãÁ¤»ó¸Á¸·(ÁÂ)°ú ´ç´¢ ¸Á¸·º´Áõ ¸Á¸·(¿ì)


[¿Óóµ¥Àϸ®] ´ç´¢º´Àº ÃéÀå¿¡¼­ ºÐºñµÇ´Â Àν¶¸°ÀÌ ºÎÁ·ÇØ Ç÷´çÀÌ Á¤»óº¸´Ù ³ôÀº »óŸ¦ À¯ÁöÇÏ´Â °ÍÀ¸·Î Ãʱ⿡´Â º°´Ù¸¥ ÀÚ°¢Áõ»óÀÌ ¾øÁö¸¸ Ä¡·á¸¦ ¹ÞÁö ¾Ê°í ¹æÄ¡ÇÒ °æ¿ì °íÇ÷´çÀÌ Áö¼ÓµÇ´Â Áúº´ÀÌ´Ù.

 

ƯÈ÷ ´ç´¢º´ÀÌ ¹«¼­¿î ÀÌÀ¯´Â ¿ÏÄ¡°¡ Èûµé°í °¢Á¾ ÇÕº´ÁõÀ» ÀÏÀ¸Å°±â ¶§¹®Àε¥ ´ç´¢ ÇÕº´ÁõÀº ½Ã·Â¿¡µµ Å« ¿µÇâÀ» ¹ÌÄ¡°Ô µÈ´Ù.

 

´ç´¢ ÇÕº´ÁõÀ¸·Î ÀÎÇØ »ý±â´Â ´ç´¢ ¸Á¸·º´ÁõÀº ³ì³»Àå, Ȳ¹Ýº¯¼º°ú ´õºÒ¾î 3´ë ÈÄõÀû ½Ç¸íÁúȯÀ¸·Î ¼ºÀÎ ½Ç¸í¿øÀÎ 1À§·Î ²ÅÈ÷°í ÀÖ´Â ¸¸Å­ ´ç´¢ ȯÀÚµéÀº ½Ã·Â°ü¸®¿¡µµ öÀúÈ÷ ½Å°æÀ» ½á¾ß ÇÑ´Ù. ´ç´¢°¡ ¿ì¸® ´«¿¡ ¹ÌÄ¡´Â ¿µÇâÀº ¹«¾ùÀÌ°í ´ç´¢ ¸Á¸·º´ÁõÀÇ Áõ»ó°ú Ä¡·á¹ý¿¡ ´ëÇØ¼­ ¾Ë¾Æº¸µµ·Ï ÇÑ´Ù.

 

´ç´¢·Î ÀÎÇÑ ÇÕº´ÁõÀÌ ¿øÀÎÀ¸·Î ½ÉÇÏ¸é ½Ç¸í±îÁö À̾îÁ®

 

´ç´¢º´ÀÌ ÀÖÀ» °æ¿ì Ç÷´çÀÌ ¸¹ÀÌ ¿Ã¶ó°¡±â ¶§¹®¿¡ °¥ÁõÀÌ ¸¹ÀÌ ³ª ¹°À» ¸¹ÀÌ ¸¶½Ã°Ô µÇ°í ¼Òº¯·®ÀÌ ´Ã°Ô µÇ´Â Áõ»óÀÌ ³ªÅ¸³­´Ù.

 

ÀÌ·± Áõ»óÀÌ Áö¼ÓµÇ¸é ¿ì¸® ¸öÀº °íÇ÷´ç »óŸ¦ À¯ÁöÇÏ°Ô µÇ°í ÀÌ·Î ÀÎÇØ ¿©·¯ ÇÕº´ÁõÀÌ ¹ß»ýÇÑ´Ù. ´ç´¢¸Á¸·º´Áõµµ ÀÌ·± ÇÕº´ÁõÀÇ Çϳª·Î ´ç´¢ ¶§¹®¿¡ ¸Á¸·ÀÇ ¹Ì¼¼¼øÈ¯¿¡ Àå¾Ö°¡ »ý°Ü ½Ã·Â°¨¼Ò°¡ ¹ß»ýÇÏ´Â ÁúȯÀÌ´Ù.

 

´ç´¢º´ÀÌ »ý±â¸é ¸Á¸·ÀÇ Ç÷°üµéÀÌ ÅÍÁö°í ³ôÀº ´çÀÌ Æ÷ÇÔµÈ Ç÷¾×ÀÌ Èê·¯ µé¾î°£´Ù. ÀÌ´Â ¸Á¸·ÀÇ Ç÷°ü°ú Á¶Á÷À» ¼Õ»ó½Ã۰í Ç÷°ü ÁÖº¯ ¼¼Æ÷ÀÇ ºÎÁ¾À¸·Î À̾îÁö°Ô µÇ°í ½ÉÇÒ °æ¿ì Ȳ¹ÝÀÌ ÆÄ±«µÇ¾î ½Ç¸í±îÁö À̸¦ ¼ö ÀÖ´Ù.

 

´ç´¢º´ Ãʱ⿡ Ç÷´ç Á¶ÀýÀ» Àß ÇÑ´Ù¸é ¸Á¸·º´ÁõÀÇ ¹ß»ýÀ» Áö¿¬½ÃÄÑ Á» ´Ê°Ô ÁúȯÀÌ ³ªÅ¸³¯ ¼ö´Â ÀÖ´Ù. ÇÏÁö¸¸ ´ç´¢º´ÀÇ Á¤µµ¿Í ¸Á¸·º´ÁõÀÇ Á¤µµ°¡ ²À ÀÏÄ¡ÇÏ´Â °ÍÀÌ ¾Æ´Ï¸ç ÀÏ´Ü ¹ßº´Çϸé ÁøÇàÀ» ¸·°Å³ª ¿ÏÄ¡°¡ ¾î·Á¿î °Ô »ç½ÇÀÌ´Ù.

 

¶§¹®¿¡ ´ç´¢°¡ ÀÖ´Â »ç¶÷Àº Æò¼Ò Ç÷´çÁ¶ÀýÀ» öÀúÈ÷ ÇØ¾ß Çϸç Ç÷´çÀÌ ¾ÈÁ¤µÆ´õ¶óµµ Á¤±âÀûÀÎ °ËÁøÀ¸·Î ÁúȯÀÇ ÁøÇàÀ» ¸·¾Æ¾ß ÇÑ´Ù.      

                                           
¶Ñ·ÇÇÑ Áõ»óÀÌ ¾ø¾î ±×´ë·Î ¹æÄ¡ÇØ Áõ»ó ¾ÇÈ­µÇ´Â °æ¿ì ¸¹¾Æ

 

´ç´¢ ¸Á¸·Áõ Ãʱ⿡´Â ¶Ñ·ÇÇÑ Áõ»óÀÌ ¾ø¾î ±× ½É°¢¼ºÀ» ±ú´ÝÁö ¸øÇÏ°í ¹æÄ¡ÇÏ´Â °æ¿ì°¡ ¸¹´Ù. ÁúȯÀÌ ÁøÇàµÇ°í ÀÖ´õ¶óµµ ½Ã·ÂÀÌ Á¤»óÀÎ °æ¿ì°¡ ¸¹À¸¸ç ´ëºÎºÐÀº Ãʱ⿡ º´À» ÀÎÁö ÇÏÁö ¸øÇϰí Áö³ªÄ£´Ù.

 

ÇÏÁö¸¸ Á¡Á¡ ½Ã°£ÀÌ Áö³¯¼ö·Ï ½Ã·Â¿¡ Á¶±Ý¾¿ ÀÌ»óÀÌ »ý±â´Âµ¥ ´«ÀÌ ºÎ½Ã°í ÀÌÀüº¸´Ù ÃÊÁ¡ÀÌ ¸ÂÁö ¾Ê°Å³ª ½Ã¾ß°¡ »Ñ¿¸°Ô º¸ÀÌ´Â Áõ»óÀ» º¸ÀÌ°Ô µÈ´Ù. À̶§ºÎÅÍ´Â ±Þ°ÝÇÏ°Ô ½Ã·Â¿¡ ¹®Á¦°¡ »ý°Ü ¸»±â·Î °¥¼ö·Ï ½Ã·ÂÀº ´õ¿í ¶³¾îÁö°í ½Ç¸í±îÁö °¥ ¼ö ÀÖ´Ù.

 

¶ÇÇÑ ³¯ÆÄ¸®°¡ ³¯¾Æ´Ù´Ï´Â ºñ¹®Áõ Áõ»óÀÌ ³ªÅ¸³ª °ËÀº Á¡ÀÌ º¸À̰ųª ¿òÁ÷À̱⵵ ÇÑ´Ù. ÇÏÁö¸¸ ´ç´¢ ¸Á¸·ÁõÀÇ Áõ»óµéÀº ´ëºÎºÐ ¸»±â¿¡ ÀÚ°¢À» ÇÏ°Ô µÉ ¸¸Å­ ¼Ò¸® ¾øÀÌ ÁøÇàµÇ´Â °æ¿ì°¡ ¸¹´Ù.

 

Ãʱâ, Áß±â±îÁö ½Ã·ÂÀÌ ÀúÇϵÇÁö ¾Ê°í º°´Ù¸¥ Áõ»óÀ» º¸ÀÌÁö ¾Ê´Ù°¡ ¸»±â¿¡ ±Þ°ÝÇÏ°Ô ½Ã·ÂÀÌ ÀúÇÏµÇ¾î ½Ç¸íÇÏ´Â »ç·Êµµ ÀûÁö ¾Ê´Ù. ÀÌ¹Ì Áõ»óÀ» ÀÚ°¢ÇÒ Á¤µµ¶ó¸é ¸Á¸·º´ÁõÀÌ ¸Å¿ì ½ÉÇØÁ³À» °¡´É¼ºÀÌ ³ôÀ¸¸ç ¹Ý´ë·Î ¸Á¸·º´Áõ Áõ»óÀ¸·Î ¾È°ú¸¦ ³»¿øÇß´Ù°¡ º»ÀÎÀÌ ´ç´¢º´À̶ó´Â »ç½ÇÀ» ¾Æ´Â °æ¿ìµµ ÀÖÀ» ¸¸Å­ ´ç´¢º´°ú ±× ÇÕº´ÁõÀ¸·Î ÀÎÇÑ ¸Á¸·º´ÁõÀº ¼Ò¸® ¾øÀÌ ½É°¢ÇÑ »óȲ±îÁö ÁøÇàµÇ´Â ¹«¼­¿î Áúº´ÀÌ´Ù.

 

¾à¹°¡¤¼ö¼ú¿ä¹ýÀ¸·Îµµ ¿ÏÄ¡ ¾î·Á¿ö Á¤±â°ËÁø ÅëÇÑ ¿¹¹æÀÌ Áß¿ä

 

´ç´¢¸Á¸·º´ÁõÀº º°´Ù¸¥ Áõ»ó ¾øÀÌ ÁøÇàµÇ´Â °æ¿ì°¡ ¸¹°í Çѹø ¹ßº´ÇÏ¸é ¿ÏÄ¡°¡ ¾î·Á¿î ¸¸Å­ ¹Ì¸® ¿¹¹æÇÏ´Â °ÍÀÌ ÁÁÀ¸¸ç ¿øÀÎÀ¸·Î º¸°í ÀÖ´Â ´ç´¢º´À» Á¶½ÉÇØ¾ß ÇÑ´Ù.

 

»ç½Ç ´ç´¢º´Àº ¹ßº´Çϱâ Àü ¿Ïº®ÇÑ ¿¹¹æ¹ýÀÌ ¾ø¾î ¿Ã¹Ù¸¥ ½Ä½À°ü°ú ¿îµ¿À» ÅëÇØ °Ç°­À» °ü¸®ÇÏ´Â °ÍÀÌ °¡Àå Áß¿äÇÏ´Ù. ´ëºÎºÐÀº ¹ßº´ ÈÄ ¸î ³â°£ ÀÚ°¢Áõ»óÀÌ ¾ø´Â °æ¿ì°¡ ¸¹±â ¶§¹®¿¡ ´ç´¢ ÆÇÁ¤À» ¹ÞÀº ÈÄ¿¡ öÀúÇÏ°Ô Ç÷´ç°ü¸®¸¦ ÇØ ÇÕº´ÁõÀ» ¿¹¹æÇÏ´Â °ÍÀÌ °¡Àå Áß¿äÇÏ´Ù.

 

´ç´¢ ÆÇÁ¤ ÀÌÈÄ¿¡ ½ÄÀÌ¿ä¹ý°ú ²ÙÁØÇÑ Ä¡·á·Î Ç÷´ç°ü¸®¸¦ ÇØÁÙ °æ¿ì ¸Á¸·º´ÁõÀÇ ¹ßº´½Ã±â¿Í ÁøÇàÀ» ´ÊÃâ ¼ö ÀÖ´Ù. ¶ÇÇÑ ´ç´¢º´ ȯÀÚµéÀº ÇÕº´ÁõÀ¸·Î »ý±â´Â ´ç´¢ ¸Á¸·º´ÁõÀ» ¿°µÎÇϰí Á¤±âÀûÀÎ ¾È°ú °ËÁøÀ¸·Î ÁúȯÀÇ À¯¹«¸¦ ¾Ë¾ÆºÁ¾ß ÇÑ´Ù.

 

ÀÌ¹Ì ÁøÇàµÆ´Ù¸é ½Ã±â¿¡ µû¶ó ¾à¹°, ÁÖ»ç¿ä¹ý, ·¹ÀÌÀú ½Ã¼ú µîÀ» ÇØº¼ ¼ö´Â ÀÖÀ¸³ª »ó´çÈ÷ ÁøÇàµÈ »óÅ¿¡¼­´Â ¼ö¼úÀº ¹°·Ð ¾î¶°ÇÑ Ä¡·á¹ýÀ¸·Îµµ ½Ã·ÂÀ» ȸº¹Çϱâ´Â ¾î·Æ´Ù.

 

ÀÌ¿¡ ´ëÇØ ºñ¾Øºû °­³²¹àÀº¼¼»ó¾È°ú ±èÁø±¹ ´ëÇ¥¿øÀåÀº ¡°´ç´¢¸Á¸·º´ÁõÀº Á¶±â ¹ß°ß ¹× Ä¡·á°¡ Áß¿äÇϱ⠶§¹®¿¡ ´ç´¢º´ Áø´ÜÀ» ¹Þ¾Ò´Ù¸é ¹Ù·Î ¾ÈÀú°Ë»ç¸¦ ¹Þ¾Æ¾ß Çϸç ÀÌÈÄ¿¡µµ 1³â¿¡ ÇÑ ¹ø¾¿Àº °Ë»ç¸¦ ¹Þ´Â °ÍÀÌ Áß¿äÇÏ´Ù¡±¸ç ¡°Æ¯È÷ ÀӽŠÁß¿¡´Â ´ç´¢¸Á¸·º´ÁõÀÌ ´õ ½ÉÇØÁö±â ¶§¹®¿¡ ´ç´¢°¡ ÀÖ´Â ÀÓ»êºÎ´Â 3°³¿ù¿¡ ÇÑ ¹øÀº °Ë»ç¸¦ ¹Þ¾Æ¾ß ÇÑ´Ù¡±°í ÀüÇß´Ù.