ÀÔ ¼Ó °¡Àå Áß¿äÇÑ Ä¡¾Æ´Â?
2012³â 01¿ù 02ÀÏ 10½Ã 23ºÐ ÀÔ·Â

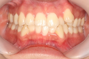
¡ã»çÁø = µð¾ÆÆ®Ä¡°ú Á¦°ø
[¿Óóµ¥Àϸ®] °­³²±¸ ½Å»çµ¿¿¡¼­ µð¾ÆÆ®Ä¡°ú¸¦ °³¿øÇϰí ÀÖ´Â °íÇüÁØ ¿øÀåÀº °¡²û µ¡´Ï¶ó°í Çϸ鼭 ÀÚ½ÅÀÇ ¼Û°÷´Ï¸¦ ¹ßÄ¡ÇØ´Þ¶ó´Â ³»¿øÈ¯ÀÚµéÀ» ´ëÇÏ¸é ±×¾ß¸»·Î ¾Æ¿¬½Ç»öÀ» ÇÑ´Ù. ƯÈ÷ ±³Á¤Ä¡·á¸¦ ÇÏ´Ùº¸¸é ÀÌ·± ¿ä±¸¸¦ Çϴ ȯÀÚµéÀÌ ¸¹Àºµ¥ °í¿øÀåÀº Ưº°ÇÑ ¹®Á¦°¡ ÀÖÁö ¾ÊÀ¸¸é ¼Û°÷´Ï ¹ßÄ¡´Â Àý´ë·Î ¾ÈµÈ´Ù°í Àß¶ó¸»ÇÑ´Ù.

 

ÀÌÀ¯´Â ÀÌ·¸´Ù. ù ¹øÂ° Ä¡¾ÆÀÇ ¹è¿­ÇüŸ¦ Àü¹®¿ë¾î·Î ¾Ç±Ã, Ä¡¿­±ÃÀ̶ó°í Çϴµ¥ ¾ÆÄ¡ÇüŸ¦ ÀÌ·ç°í ÀÖ´Ù.¼Û°÷´Ï´Â Ä¡¾ÆÀÇ ¾Õ´Ï¿Í ¾î±Ý´Ï»çÀÌ¿¡ °æ°è¸¦ ÀÌ·ç°í Àִµ¥ ¼Û°÷´Ï°¡ ¾øÀ¸¸é ÀÌ ±¸Á¶°¡ ¹«³ÊÁö°Ô µÈ´Ù. Ä¡¾Æ ¹è¿­ÀÌ ¾û¸ÁÀÌ µÇ¾î ¹ö¸®´Â °ÍÀÌ´Ù. ´Ù½Ã ¸»ÇØ ¼Û°÷´Ï´Â Ä¡¾Æ¹è¿­ÀÇ Áß½ÉÃàÀÌ´Ù.

 

µÎ ¹øÂ° ÀÌÀ¯´Â ¼Û°÷´Ï°¡ °¡Áö°í ÀÖ´Â ±â´ÉÀûÀÎ ÀÌÀ¯´Ù. À̸¥ ¹Ù ÀúÀۿ(¾Ã´Â¿îµ¿)Àº À§ ¾Æ·¡·ÎÀÇ ±â´É»Ó¸¸ ¾Æ´Ï¶ó Ãø¸é¹æÇâÀ¸·Îµµ ÀÛ¿ëÇÑ´Ù. ½±°Ô ¸»ÇØ ¼Û°÷´Ï´Â ¾Ã´Â ±â´Éº¸´Ù Âõ´Â ±â´ÉÀ» °¡Áø À¯ÀÏÇÑ Ä¡¾Æ´Ù. ±×·¡¼­ ¼öÁ÷ÀÇ ¾Ð·Â¿¡µµ °­ÇØ¾ß ÇÏÁö¸¸ Ãø¹æÀ¸·Îµµ °­·ÂÇÑ ±â´ÉÀ» ÇØÁà¾ßÇÏ´Â °ÍÀÌ´Ù.

 

±×·¡¼­ âÁ¶ÁÖ´Â ¼Û°÷´ÏÀÇ »Ñ¸®¸¦ Á¦ÀÏ ±æ°í °­ÇÏ°Ô ¸¸µé¾î ³õÀ¸¼Ì´Ù. Ä¡°ú¿¡ °¡¼­ X¼± »çÁøÀ» Âï¾îº» »ç¶÷À̶ó¸é ´ë¹ø¿¡ ¾È´Ù. ¼Û°÷´Ï»Ñ¸®°¡ °¡Àå ±æ°í ±í°í ưưÇÏ´Ù.

 

±×·¯¸é ¼Û°÷´Ï°¡ °¡²û µ¡´Ï ¸ð¾çÀ¸·Î ³ª´Â ÀÌÀ¯´Â ¹ß»ýÇÐÀûÀ¸·Î À¯Ä¡¿¡¼­ ¿µ±¸Ä¡·Î ÀüȯµÉ¶§ ¼Û°÷´Ï°¡ ³ª´Â ¼ø¼­°¡ ÀÛÀº ¾î±Ý´Ïµéº¸´Ù ´À¸®±â ¶§¹®ÀÌ´Ù. ¾î±Ý´ÏµéÀÌ ´Ù ³­ ÈÄ¿¡ ¼Û°÷´Ï°¡ ³­´Ù. ±×·¸±â ¶§¹®¿¡ °¡²ûÀº ¼Û°÷´Ï°¡ ³ª´Â °ø°£ÀÌ Á¼°Å³ª ºÎÁ·ÇÒ¶§°¡ ÀÖ´Ù. ±×·¡¼­ ¶§·Î ¾û¶×ÇÑ °÷À¸·Î ¼Ú´Â °æ¿ì°¡ »ý±â°í »ç¶÷µéÀº À̸¦ µ¡´Ï¶ó°í ºÎ¸¥´Ù.

 

°Ü¿ï¹æÇÐÀº Çлýµé¿¡°Ô Ä¡¾Æ±³Á¤ÀÇ Àû±â´Ù. ¹æÇе¿¾È Ä¡¾Æ±³Á¤ ÀåÄ¡¿¡ ÀûÀÀµµ ÇÏ°í ½É¸®ÀûÀÎ ¾ÈÁ¤µµ ã´Â´Ù.
µ¡´Ï ÇüÅ·Π³­ ¼Û°÷´Ï°¡ °Å½½·Á¼­ »¬ »ý°¢À» Çß´Ù¸é ¹«ÁöÀÇ ¼Ò»êÀÌ´Ù. Ä¡¾Æ±³Á¤À¸·Î ÇØ°áÇÏ¸é µÈ´Ù.

 

µð¾ÆÆ®Ä¡°ú´Â ƯÈ÷ ¼ºÀå±â ¾ÆÀ̵éÀÇ Ä¡°úÄ¡·á¿¡ ´ëÇÑ ½É¸®Àû °ÅºÎ°¨À» ÁÙ¿© ÁÖ±â À§Çؼ­ ƯÀ¯ÀÇ ÀÎÅ׸®¾î¿Í À½¾ÇÀ» ÅëÇÑ À̸¥ ¹Ù °¨¼ºÄ¡·á¸¦ ½ÃÇàÇϰí ÀÖÀ¸¸ç °Ü¿ï¹æÇÐÀ» ¸Â¾Æ ¼Ò¾ÆÄ¡°ú¿Í ±³Á¤Ä¡·á Àü¹®ÀÇÀÎ ±èÀ±Èñ¿øÀå°ú ÇÔ²² ½Ã¼ú¿¡ ¸¸ÀüÀ» ±âÇϰí ÀÖ´Ù. Ä¡¾Æ±³Á¤¿¡ ÀÖ¾î º´¿øÀÇ ¼±ÅÃÀÇ Á߿伺Àº µÎ¸»ÇÒ Çʿ䰡 ¾ø´Ù.

 

±×¸®°í »õ»ï½º·´Áö¸¸ ¼Û°÷´Ï, ´Ù½Ãº¼ ÀÏÀÌ´Ù.

 

µµ¿ò¸»:µð¾ÆÆ®Ä¡°ú °íÇüÁØ ¿øÀå