¼Õ°¡¶ô ºü´Â ¾ÆÀÌ ¡®ºÎÁ¤±³ÇÕ¡¯ À§ÇèÇÏ´Ù
2011³â 12¿ù 26ÀÏ 14½Ã 22ºÐ ÀÔ·Â

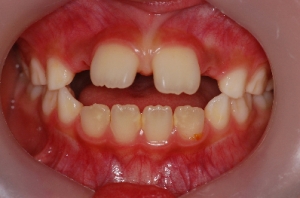
¡ãÀå±â°£ ¼Õ°¡¶ôÀ» »¡¾Ò´ø ¾ÆÀÌÀÇ ºÎÁ¤±³ÇÕ »çÁøÀÌ´Ù. À­´Ï¿Í ¾Æ·¡ ¾Õ´Ï »çÀÌ¿¡ °ø°£ÀÌ »ý°åÀ¸¸ç Ä¡¿­µµ °í¸£Áö ¸øÇÏ´Ù. (»çÁøÃâó: Á¦´Ïư)
[¿Óóµ¥Àϸ®]¼ÛÆÄ±¸ °¡¶ôµ¿¿¡ »ç´Â 5»ì 丰ÀÌ(°¡¸í)´Â ¿Ã ÃÊ ¾î¸°ÀÌÁý¿¡ °¡¸é¼­ Çѵ¿¾È ±×¸¸ µÎ¾ú´ø ¼Õ°¡¶ô »¡±â°¡ ´Ù½Ã ½ÃÀ۵ƴÙ. ³¸¼± ȯ°æ ¶§¹®¿¡ »ý±ä ½ºÆ®·¹½º¸¦ ÇØ¼ÒÇÏ·Á´Â ÇൿÀ¸·Î ÀÌÇØÇÏ·Á°í ÇßÁö¸¸ ½ÉÇÑ ¼Õ°¡¶ô »¡±â°¡ À­´Ï¿Í ¾Æ·§´Ï°¡ Á¦´ë·Î ¸Â¹°¸®Áö ¾Ê´Â ¡®ºÎÁ¤±³ÇÕ¡¯À» ÀÏÀ¸Å³ ¼ö ÀÖ´Ù´Â Ä¡°úÀÇ»çÀÇ ´çºÎ°¡ °è¼Ó ±Ó°¡¿¡ ¸Éµ·´Ù.

 

±¸°­Àü¹®±â¾÷ Á¦´ÏưÀÇ ±ÇÁö¿µ Ä¡ÀÇÇйڻç´Â ¡°¼Õ°¡¶ôÀ» °­Çϰí, Áö¼ÓÀûÀ¸·Î ºü´Â ¾î¸°ÀÌ´Â ±×·¸Áö ¾ÊÀº ¾î¸°À̺¸´Ù ¾Æ·§´Ï¿Í À­´Ï°¡ Á¦´ë·Î ¸Â¹°¸®Áö ¾ÊÀº »óÅÂÀÎ ºÎÁ¤±³ÇÕÀÇ ºóµµ°¡ ´õ ³ô´Ù¡±¸ç ¡°¸¸ 4¼¼ ÀÌÈÄ¿¡µµ ¼Õ°¡¶ô ºü´Â ½À°üÀÌ Áö¼ÓµÇ¸é À­´Ï¿Í ¾Æ·¡ ¾Õ´Ï »çÀÌ¿¡ °ø°£ÀÌ »ý±â´Â ºÎÁ¤±³ÇÕÀ» À¯¹ßÇÒ ¼ö ÀÖ´Ù¡±°í ÁÖÀǸ¦ ´çºÎÇß´Ù.

 

¼Õ°¡¶ô »¡±â´Â »ýÈÄ 1³â Á¤µµÀÇ ¾ÆÀ̵鿡°Ô ³ªÅ¸³ª´Â ÀÚ¿¬½º·± ÇൿÀÌ´Ù. ÀÌ ½Ã±âÀÇ ¾ÆÀ̵éÀº Çô³ª ÀÔ¼úÀ» ÀÌ¿ëÇØ ¡®ºü´Â Çൿ¡¯À» ÇÔÀ¸·Î½á ÀÚ½ÅÀÇ ¿å±¸¸¦ ¸¸Á·½ÃŰ°Ô µÈ´Ù. Á¤½ÅºÐ¼®°¡ÀÎ ÇÁ·ÎÀ̵尡 ¡®±¸°­±â¡¯·Î ¸í¸íÇÑ ÀÌ ½Ã±â¸¦ Áö³ª¸ç ¾ÆÀ̵éÀÇ ¼Õ°¡¶ô »¡±â´Â Á¡Â÷ ÁÙ¾îµç´Ù.

 

ÇÏÁö¸¸ ÀÌ ½Ã±âÀÇ ¿å±¸°¡ ÃæºÐÈ÷ ÇØ¼ÒµÇÁö ¾ÊÀ¸¸é ¾ÆÀ̵éÀº Áö¼ÓÀûÀ¸·Î ¼Õ°¡¶ôÀ» »¡°Ô µÇ¸ç ÀÌ´Â ¾ÆÀÌÀÇ ¿Ã¹Ù¸¥ Ä¡¿­ Çü¼º¿¡µµ ¿µÇâÀ» ³¢Ä¡°Ô µÈ´Ù. ÀÌ ¿Ü¿¡µµ ÅÎÀ» ±«´Â °Í, ÀÔÀ¸·Î È£ÈíÇÏ´Â °Í, °í¾çÀÌó·³ µîÀ» ±¸ºÎ¸®°í ¾É¾ÆÀÖ´Â °Í, ÀÔ¼úÀ» ±ú¹°´Ù°¡ ħÀ» ¹Ù¸£´Â °Í µîÀÇ ½À°üµµ Ä¡¿­ Çü¼º¿¡ ¿µÇâÀ» ÁÖ´Â ¿äÀÎÀÌ´Ù.

 

±Ç ÀÌ»ç´Â ¡°¼Õ°¡¶ôÀ» ºü´Â ½À°üÀÌ ¸¸ 6¼¼ ÀÌÀü¿¡ ¾ø¾îÁø´Ù¸é ºÎÁ¤±³ÇÕÀÇ ¿µÇâÀº ÀϽÃÀûÀÌÁö¸¸ 6¼¼ ÀÌÈıîÁö Áö¼ÓµÈ´Ù¸é ½À°üÁß´ÜÀåÄ¡¸¦, 10¼¼ ÀÌÈıîÁö Áö¼ÓµÈ´Ù¸é ±³Á¤Ä¡·á°¡ ÇÊ¿äÇÒ ¼ö ÀÖ´Ù¡±¸ç ¡°ºÎ¸ðÀÇ Áö³ªÄ£ ÀܼҸ®¿Í ½ÉÇÑ Ã¼¹úÀº ¿ÀÈ÷·Á ¼Õ°¡¶ô »¡±â°¡ ½ÉÇØÁú ¼ö ÀÖ´Â ¸¸Å­ ´Ù¾çÇÑ ¹æ¹ýÀ¸·Î ÇൿÀ» ±³Á¤ÇÒ Çʿ䰡 ÀÖ´Ù¡±°í Á¶¾ðÇß´Ù.

 

¾ÆÀ̰¡ ¼Õ°¡¶ôÀ» »¡Áö ¾Ê¾ÒÀ» ¶§ ĪÂùÀ̳ª ¼±¹°À» Áְųª, ¼Õ¿¡ Àå°©À» ³¢¿ì°Å³ª, Á¾ÀÌÁ¢±â ºí·Ï ½×±â µîÀ¸·Î ¾ÆÀÌ¿¡°Ô »õ·Î¿î Èï¹Ì¸¦ À¯¹ßÇÏ´Â °Íµµ ¹æ¹ýÀÌ´Ù.

 

»ç½Ç °í¸¥ Ä¡¿­À» ¸¸µå´Â ¹æ¹ýÀº ¾ÆÀ̰¡ žÀ» ¶§ºÎÅÍ ½ÃÀÛÇØ¾ß ÇÑ´Ù. Á¥À» »¡°Å³ª ÀÌÀ¯½ÄÀ» ¸ÔÀ» ¶§ ÅÎÀ» ¿òÁ÷ÀÌ´Â ÇàÀ§´Â ÅÎÀÇ »À¸¦ »ý¼ºÇÏ´Â Á¶°ñ¼¼Æ÷ÀÇ ¿òÁ÷ÀÓÀ» Ȱ¹ßÇÏ°Ô ÇÑ´Ù. ƯÈ÷ ¸ðÀ¯¼öÀ¯¸¦ ÇÏ´Â ¾ÆÀÌ´Â Åΰú Çô¸¦ ¸ðµÎ »ç¿ëÇϱ⠶§¹®¿¡ ÅÎÀÌ Àß ¹ß´ÞÇϰí ÇôÀÇ ¿òÁ÷ÀÓ¿¡ µû¶ó Ä¡¿­ÀÌ °í¸£°Ô µÈ´Ù.

 

¹±Àº ÀÌÀ¯½Ä¿¡¼­ ¾î´À Á¤µµ ¾Ã´Â Áú°¨ÀÇ ÀÌÀ¯½ÄÀ¸·Î ¹Ù²Ü ¶§ ¼±ÅÃÇÏ´Â À½½ÄÀç·áµµ ÅÎ ¹ß´Þ¿¡ ¿µÇâÀ» ÁØ´Ù. ºê·ÎÄݸ®³ª ¼è°í±â, ´Þ°¿³ë¸¥ÀÚ µîÀÌ ¾Ã´Â ´À³¦À» ÁÖ´Â ´ëÇ¥ÀûÀÎ ½ÄÀç·áµéÀÌ´Ù.

 

¶ÇÇÑ À¯Ä¡¿¡ ÃæÄ¡°¡ »ý°åÀ» ¶§ ¾îÂ÷ÇÇ ºüÁú Ä¡¾Æ¶ó°í ¼ÒȦÇÏ°Ô »ý°¢ÇØ ¹æÄ¡ÇÏ´Â ºÎ¸ð°¡ Àִµ¥ ÀÌ´Â ´ë´ÜÈ÷ À߸øµÈ »ý°¢ÀÌ´Ù. À¯Ä¡¿¡ ÃæÄ¡°¡ »ý°Ü ¾ÆÀ̰¡ ÅëÁõÀ» ´À³¢°Ô µÇ¸é ¾ÆÀÌ´Â ÇÑ ÂÊÀ¸·Î À½½ÄÀ» ¾Ã°Ô µÅ ¾È¸é±ÙÀ°ÀÇ ±ÕÇüÀÌ ±úÁú ¼ö ÀÖ°í, À¯Ä¡¸¦ ÀûÀýÈ÷ Ä¡·áÇÏÁö ¾Ê¾Æ Á¤»óº¸´Ù ÀÏÂï »Ì°Ô µÇ¸é Ä¡¿­ÀÌ ¾î±ß³ª ¿µ±¸Ä¡°¡ ³¯ ¶§ µ¡´Ï°¡ µÇ°Å³ª ¾Æ¿¹ ³ª¿ÀÁö ¾Ê´Â ¼öµµ ÀÖ´Ù.

 

±ÇÁö¿µ ÀÌ»ç´Â ¡°À¯Ä¡°¡ ³ª´Â »ýÈÄ 6°³¿ù¿¡¼­ ù µ¹ »çÀÌ¿¡ Ä¡°ú °ËÁøÀ» ½ÃÀÛÇÏ´Â °ÍÀÌ °Ç°­ÇÏ°í ¿¹»Û Ä¡¿­À» ¸¸µå´Â ¹æ¹ý¡±À̶ó°í ¸»Çß´Ù.