´º½º
°Ç°A-Z
¶óÀÌÇÁ
Ǫµå
Ä®·³
Á¾ÇÕ
ÇÑÀÇÇ÷¯½º
°Ç°
¿Ó󏮯÷Æ®
ÀÎÅͺä
ÀÇ·á°è
½Ã»ç/ÇÇÇÃ
ÇÑÀÇÇмúÁ¤º¸
Æ÷Åänµ¿¿µ»ó
¾àħº¸°¨
ÇÑÀÇÇ÷¯½º
¾î±úÁúȯ ȯÀÚ 200¸¸¸í ½Ã´ë, ´ç½ÅÀÇ ¾î±ú´Â?
[¿Óóµ¥Àϸ®] Áö³ 15ÀÏ °Ç°º¸Çè½É»çÆò°¡¿øÀº 5³â°£ °Ç°º¸Çè ...
¸¸º´ÀÇ ±Ù¿øÀº ¡®¸é¿ª·Â ºÎ½Ç¡¯
[¿Óóµ¥Àϸ®] °è¼ÓµÇ´Â Àϱ³Â÷°¡ ½ÉÇÑ ³¯¾¾·Î ÀÎÇØ ½Åü ¸é¿ª·Â...
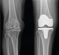
¹«¸ Àΰø°üÀý ¼ö¼ú¿¡ ´ëÇÑ ¿ÀÇØ¿Í Áø½Ç
[¿Óóµ¥Àϸ®] ÃÖ±Ù Æò±Õ ¼ö¸í ¿¬ÀåÀ¸·Î ÀÎÇØ ÅðÇ༺°üÀý¿° ȯÀÚ...
´Ù°¡¿À´Â ¿©¸§Ã¶, ÈØ´Ù¸® °ÆÁ¤ ¾î¼³ª
[¿Óóµ¥Àϸ®] µû¶æÇÑ º½ ³¯¾¾¸¦ ¸¸³£Çϱ⵵ Àü¿¡ ´Ù°¡¿À´Â ¿©¸§...
¸ð°ø, ¡®ÇÇÁö¡¤¸ð¹ß¡¤Åº·Â¡¯ÀÌ ¹®Á¦¡¦ Æ®¸®Çà º¹ÇÕ ·¹ÀÌÀú·Î 3´Ü°è Ä¡·á
[¿Óóµ¥Àϸ®] Çѹø ³Ð¾îÁø ¸ð°øÀº Ãà¼ÒµÇÁö ¾Ê°í ½Ã°£ÀÌ °¥¼ö·Ï ...
Å»¸ðÄ¡·áÁ¦ ¸ÔÀ¸¸é Á¤·Â °¨¼Ò, »ç½ÇÀϱî?
[¿Óóµ¥Àϸ®] MBC ¶óµð¿À 'FM4U '±Â¸ð´×FM ÀüÇö¹«ÀÔ´Ï´Ù'ÀÇ 'ÀÌ...
ÀڱñÙÁ¾ ¿øÀÎ, °¡±îÀÌ¿¡ ÀÖ´Ù!
[¿Óóµ¥Àϸ®] Á÷Àå 6³âÂ÷ ±èÀºÁö¾¾(30)´Â º¸Åë 7ÀÜ ÀÌ»óÀÇ Ä¿ÇÇ...
Å»¸ðÄ¡·áÁ¦ ¸ÔÀ¸¸é Á¤·Â °¨¼Ò, »ç½ÇÀϱî?
[¿Óóµ¥Àϸ®] MBC ¶óµð¿À 'FM4U '±Â¸ð´×FM ÀüÇö¹«ÀÔ´Ï´Ù'ÀÇ 'ÀÌ...
Ȱ·ÂÃæÀü ½ºÆ®·¹½º ÇØ¼Ò¹ý
[¿Óóµ¥Àϸ®] ¡®½ºÆ®·¹½º ¾ø´Â »î¡¯À̶õ °Ô ÀÖÀ»±î. ÀÔ½Ã, Ãë¾÷,...
Áö¿Áö, Ç㸮 °Ç°¿¡µµ ¾È ÁÁ´Ù
[¿Óóµ¥Àϸ®] ÁöÇÏöÀ» Ÿ°í Ãâ±ÙÇϰųª µî±³ÇÏ´Â Á÷ÀåÀΰú Çлý...
<
156
157
158
159
160
>